芝原歯科では、一般歯科からインプラントや審美歯科など様々な歯科治療に対応しております。歯や口腔内の健康を守るため、患者様おひとりおひとりに合わせた治療やケアを提供致します。口腔内のケガや予防治療など、少しの「困った」でも気兼ねなくご来院ください。
一般歯科
当院では「より良い地域医療をめざして」を治療理念に、全ての患者さまへの総合的な口腔ケア体制の確立をめざしております。虫歯治療以外に、歯茎の健康状態、現在の歯から影響する全身への健康被害状況の把握などもサポートしておりますので歯に関するお悩みはお気軽に当院まで相談下さい!
小児歯科
小さなお子様は総じて歯科医院での治療を怖がります。当院では歯科治療に対する恐怖心だけが残ってしまわないように無理に治療を進めようとはせず、小さなお子様へも十分な説明で、歯科治療の重要性や、少しずつでも治療に対する恐怖心を出来うる限り取り除いていく事に力を入れております。もちろん、歯科検診やフッ素塗布、予防歯科も行っております。
口腔外科
「口腔外科」とはお口の中の外科処置をする診療科目です。 おやしらずの技歯(横にみている智歯)や歯の根の先にできた膿のふくろ の外科的摘出などを行います。 また当院では近大医学部奈良病院(口腔外科)とも連携しておりますので、 口腔内のガン検診から病院へ紹介もいたしております。
インプラント
インプラントとは歯が抜けてしまった場所へ身体と親和性の高い素材で作られた人工の歯根を埋め込み、その上に天然の永久歯と見分けがつかない精巧な被せ物を装着することで、まるで自分の歯が戻ったような感覚を手に入れられます。入れ歯と比較して比較にならないほど噛む力を出せ、美味しく・楽しく食事が出来るようになる最新の治療法です。また、顎関節や蓄膿(歯科項目のもの)などもこの分野です。
審美歯科
審美歯科とは色素の沈着で色が悪くなった歯を白色へ近づけたり、自然な歯に対して目立ちやすい金属の埋め物や被せ物からセラミックスなどの素材を用いて自然な歯の色へ統一する、一般歯科治療に加えて美しさに焦点をあてたものです。歯の色、形、並びなどでお悩みの場合は「審美歯科」による治療をご検討ください。
ノンクラスプデンチャー
ノンクラスプデンチャーとは従来の入れ歯のように金具バネなどを一切使わない入れ歯であり、素材も柔らかくて曲げても割れることがありません。また、ノンクラスプデンチャーの素材色は歯茎と同じ自然なピンク色、素材の柔らかさは手で大きく曲げに耐えられるほどなので装着しても、お口の中の異物感を少なくすることができます。
ホワイトニング
芝原歯科ではホワイトニングメニューも自信を持ってオススメしています。専用キットを使ってご自宅で行える『ホームホワイトニング』と、芝原歯科で行う『オフィスホワイトニング』の2つのメニューをご用意しています。どちらのコースも気軽にスタートできる料金設定で、しっかり効果を実感できます。
ホームホワイトニング ¥18,000(税込)
セット内容:薬剤3本 上下マウスピース リテーナーケース
オフィスホワイトニング 1回 ¥10,000(税込)
施術前
施術後
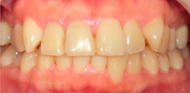
マウスピース矯正
アソアライナーを使用した矯正治療を行っております。アソアライナーとは、ブラケットやワイヤーを使わない透明なマウスピース型の矯正装置です。このマウスピース型のアソアライナーは透明なので治療中も目立たず、食事の時に装置を取り外せるなど、大きなメリットがあります。理想的な歯並びになるように、少しずつ歯を移動させた状態のマウスピースを毎回製作し、そのマウスピースを装着することで歯を矯正していきます。芝原歯科では一般の矯正治療も専門医と連携して行っております。
芝原歯科では、歯科に関するあらゆるご相談を受け付けております。ささいな心配事でも、ご遠慮なくご相談ください。